Rizartrose (artrose do polegar): sintomas, causas e tratamento da dor na base do polegar
O que é rizartrose

A rizartrose é a artrose que acomete a base do polegar, na articulação carpometacarpal (CMC), localizada entre o primeiro metacarpo e o osso trapézio. Essa é uma das articulações mais importantes da mão, porque permite movimentos essenciais como pinça, oposição e preensão.
Por ser uma articulação com grande mobilidade e pouca estabilidade óssea, ela depende muito dos ligamentos para funcionar bem. Com o tempo, essa combinação favorece o desgaste da cartilagem, levando ao desenvolvimento da artrose.
Esse é um dos motivos pelos quais a rizartrose é uma das causas mais comuns de dor na mão.
Dor na base do polegar: quando suspeitar de rizartrose
O principal sintoma da rizartrose é dor na base do polegar, especialmente durante o uso da mão. No início, a dor aparece em atividades específicas, mas pode evoluir para um desconforto mais constante.
É comum que o paciente perceba dificuldade em tarefas simples do dia a dia, como abrir potes, torcer pano, girar chaves ou segurar objetos com firmeza. Aos poucos, pode surgir perda de força e sensação de instabilidade.
Nos casos mais avançados, o polegar pode começar a deformar. A base tende a colapsar em adução, enquanto a articulação mais distal compensa com hiperextensão, formando um padrão típico da doença .
Quem tem mais risco de desenvolver
A rizartrose é muito frequente, principalmente em mulheres e com o envelhecimento. Estudos mostram que ela pode acometer cerca de uma em cada três mulheres e um em cada oito homens, com aumento significativo após os 75 anos .
Além da idade, alguns fatores aumentam o risco, como uso repetitivo das mãos, atividades com esforço de pinça, frouxidão ligamentar e predisposição anatômica.
Por que essa articulação desgasta
A articulação do polegar tem um formato em sela, o que permite grande amplitude de movimento. Ao mesmo tempo, essa característica reduz a estabilidade intrínseca, fazendo com que os ligamentos tenham papel fundamental.
Outro fator importante é a carga. Durante movimentos de pinça e preensão, essa articulação pode receber forças muito superiores à carga aplicada, o que contribui diretamente para o desgaste da cartilagem .
Como é feito o diagnóstico
O diagnóstico da rizartrose é principalmente clínico. A história do paciente costuma ser bastante característica, associada ao exame físico.
Um dos testes mais utilizados é o grind test, que consiste em comprimir e rodar o polegar, reproduzindo a dor. Também é comum encontrar diminuição da força de pinça e sinais de instabilidade da articulação.
A radiografia é utilizada para confirmar o diagnóstico e avaliar o estágio da doença. As incidências mais usadas incluem PA, perfil e oblíqua da mão, além da incidência de Robert, que permite uma visualização mais precisa da articulação .
Exames como ressonância magnética raramente são necessários.

Estágios da rizartrose
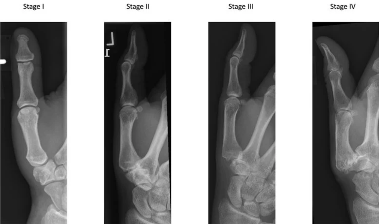
A classificação mais utilizada é a de Eaton e Littler, baseada nos achados radiográficos. Ela descreve a evolução da doença desde fases iniciais, com discreta alteração articular, até estágios avançados com destruição da articulação e comprometimento de estruturas vizinhas .
Um ponto importante é que nem sempre a radiografia corresponde à intensidade dos sintomas. É comum encontrar pacientes com pouca dor e alterações avançadas, assim como o contrário.
Tratamento da rizartrose
O tratamento da rizartrose depende da intensidade da dor e do impacto na vida do paciente. Em geral, começa de forma conservadora.
O uso de órtese ajuda a estabilizar o polegar e reduzir a sobrecarga da articulação. Anti-inflamatórios podem ser utilizados em fases de dor mais intensa, e a terapia de mão tem papel importante na melhora da função. Em alguns casos, a infiltração com corticoide e/ou ácido hialurônico pode trazer alívio temporário
Quando essas medidas não são suficientes, a cirurgia passa a ser considerada.
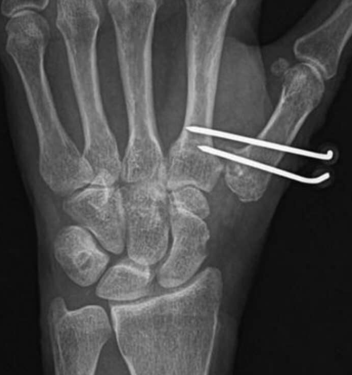
Nos estágios iniciais, procedimentos como osteotomia do primeiro metacarpo ou reconstrução ligamentar podem ser indicados, com o objetivo de melhorar a mecânica da articulação e reduzir a dor .
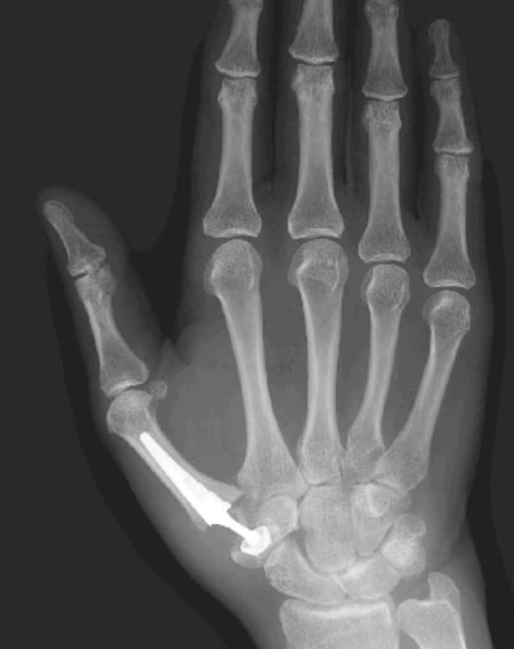
Nos casos mais avançados, a cirurgia mais realizada é a retirada do trapézio (trapeziectomia), associada ou não à reconstrução ligamentar. Técnicas como a de Burton e Pellegrini utilizam tendões para estabilizar o polegar após a ressecção óssea.
A artrodese pode ser indicada em pacientes mais jovens e com alta demanda, oferecendo maior força, porém com perda de movimento. Já as próteses são menos utilizadas devido à variabilidade dos resultados.
Rizartrose tem cura?
A rizartrose não tem cura no sentido de reverter completamente o desgaste da articulação. No entanto, tem tratamento.
Com abordagem adequada, é possível controlar a dor, melhorar a função da mão e manter qualidade de vida por muitos anos.
Quando procurar um especialista
Se você sente dor na base do polegar, perda de força ou dificuldade para atividades simples, vale a pena procurar avaliação. Quanto mais precoce for o diagnóstico, maiores são as chances de controlar a doença sem cirurgia.
Deixe um comentário
Confira mais posts






